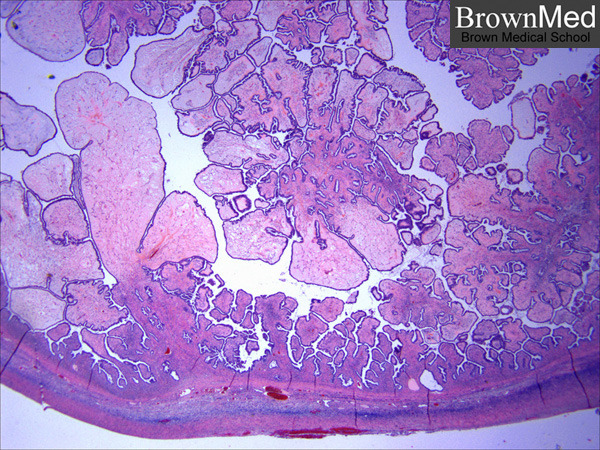
Ovarian serous papillary borderline tumour. Share this: Share on X (Opens in new window) X Share on Facebook (Opens in new window) Facebook Like Loading... Leave a comment Cancel reply Δ
Leave a comment