
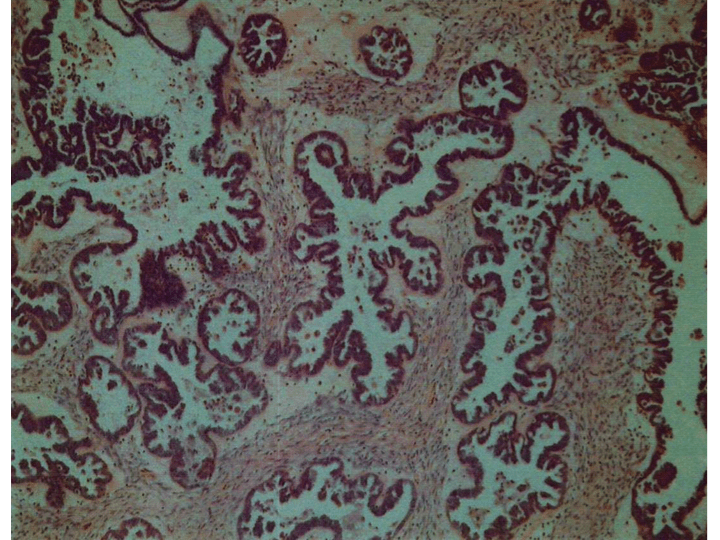
I eventually got a copy of my path report in colour. I didn’t manage to get a photo of my tumour (I asked but some unexpected bleeding during surgery meant the team were otherwise engaged and unable to snap away on their iphones as previously promised…) so this is a good second best. There’s something very cool about being able to “see” this damn BOT.

Leave a comment